There’s an organization out there called “Nothing Pink About It” — I think I have mentioned it before. But the name is all that comes to my head right now – two days post breast cancer eradication surgery. I’m not being negative, I’m being real. There is nothing pink, or blingy, or cute, or fun about breast cancer. I’m not angry or feeling like poor me right now. I’m actually doing pretty well. I feel blessed my cancer was caught early. I have felt enveloped by the prayers of so many and uplifted by kind thoughts and gestures along the way. I have not felt even a little abandoned by God. I feel supremely blessed and lucky all at the same time. Even my surgery was best case scenario — they only had to remove two lymph nodes and didn’t get anywhere near my armpit so I’m not enduring a tremendous amount of pain on the backside. But let me tell you, the surgical pre-process — it’s not pink at all — it’s just shy of barbaric.

What I write next is not for the faint of heart — you may not want to read further — if you are here to see how I fared, I fared well. I am recovering well. Still sore, still icing a lot, but I was able to walk around yesterday and do quite a bit for myself. I am restricted from driving for a week and can’t lift anything pretty much, but those are small sacrifices in the scheme of things. What I am going to write next is more for posterity. So I can get the process out of my mind. Writing releases that for me. But it’s not pretty and it’s not something anyone has ever shared with me regarding surgery — so you may not want it shared with you — fair warning.
Arriving at the hospital I was feeling as prepared as I could be. The night before, sweet friends and others from our church bible study groups came together and prayed over me. I have never had so many people pray on my behalf as I have had these last few weeks. It’s been well, transformative for me and for my faith. I walked in the hospital knowing what was ahead but there are just some things you can’t prepare for.
When I was taken back to prepare (around 9:30a) they did my vitals, etc. all was good. My bp was pretty close to normal and my heart rate was low as always — 46. No ruffled feathers at that point. They had trouble finding a vein in my hand for the IV — probably because I hadn’t had anything to drink in 12 hours because as I look right now all I can see is veins. But then they could not find one. So, in the bend of my arm it went. After I was situated, they brought Frank and Kenzie back. We didn’t have very long. I had an appointment in radiology to set guide wires for the surgeon. I imagined these thin little wires that wouldn’t take much to place. Certainly not as rough as my biopsy was. Oh, how wrong I was.
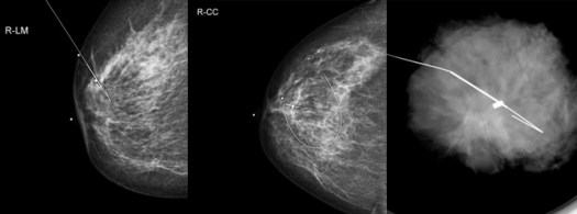
I arrived at radiology and was brought back to ultrasound. See, I had three areas of cancer. Betwen 12:30 and 1:30 on my left breast there were two areas of scattered calcifications. These show up as white dots on the mammography. In addition, I had a tiny mass that was below the line of these calcifications. Lucky me, this meant they would need two wires to define the margins left and right and one additional one to help guide my surgeon in the depth of the small mass.
On screen, calcifications look like this:

Turns out when they open you up, unless it’s an obvious mass, things are hard to see. The surgeon can’t tell where anything is in there. I guess were not color-coded like a Grey’s Anatomy book indicates. That’s the purpose of the guide wires – to define where the surgeon needs to cut to get it all out. And really, I should stop saying “wires”. In all honestly they are needles. Big, silver needles. And I understand they serve a purpose, and I am thankful for them — and actually for the radiologist who placed them. She was as precise as they come. But the experience of having them placed is nothing short of horrific.
I started in the ultrasound room so she could place the one on the depth of the tiny mass first. She looked and looked and went back to her office to study the location precisely so she wouldn’t miss. They begin the procedure by shooting the breast full of lidocane. Which, in the end, I super appreciated. The numbing eventually is fabulous. The problem is, they are working against the clock, trying to keep me on track for my scheduled surgery time, so the luxury of waiting until the numbing fully takes effect is not available. And let me tell you, being shot full of lidocaine is the most uncomfortable burning feeling there is. Or so I thought.
She then warned me I would feel a “pinch”. There really aren’t words to describe the pain I experienced as they pierced my breast with the wire. Good night. I tried to breathe through it. I tried to control my mind, I prayed, I sang a hymn to myself, but it was a long process. And when she had finally gotten the wire “close” to the mass, she ultrasounded again and decided it needed to be adjusted to get it just right. Again, as I sit here, I am very thankful for her precision — there I was not as thankful. It was excruciating. Once that process was over, they moved me to mammography to place the last two wires.
Here they put me on the xray machine, again, went back and forth to determine the left margin of the cancer field, and then shot me full of more numbing medicine. By now my mind was racing wildly and I could feel sweat forming on my brow and down my neck. I started seeing stars. They finally had to lay me back and place ice packs on my head and neck to keep me from passing out. Let me preface all this by saying I have an incredibly high pain threshhold. I can tolerate difficult procedures. I am not new to the surgical world.
After I calmed down a bit and cooled off, they set me up to work on me some more. Though, taking that pause allowed the lidocaine to do it’s thing and the next two guide wires were placed without much pain or discomfort. Just a little pressure and they were set, measuring the left and right margins. I tried not to look down. But it’s tough when you have three shining silver sticks sticking out of you.

Back to the waiting area I was rolled. The procedure was supposed to take about an hour total…mine took two. The anesthesiologist had been by three or four times to meet with me at that point so now we had to wait on him to return. My surgeon was ready to rock and roll. I’ll tell you — that woman is wonderful. Down to earth and calmly confindent.
Finally the anesthesiologist arrived, I had my interview and off I went. They gave me medicince on the way to relax a bit but having come down from the adrenaline high mixed with it, I was out before I ever got to the OR. I don’t remember moving off the bed onto the table. I only remember waking up in recovery, shaking from the anesthesia and getting a myriad of warm blankets.
The pain was not terrible once they got the shaking under control and I only needed two hits of IV pain meds. Off to recovery phase II where my family was waiting.
Frank and Kenz had the opportunity to meet with Dr. Forster. She explained that the cancer field was wide rather than deep and therefore the incision she made is longer than normal and the tissue she removed was greater than expected. What does that mean? I will probably lose greater volume in that breast in the coming months as the swelling recedes. That’s something we can deal with later if it becomes problematic. Right now, I’m just grateful I kept my breast at all.
As for the lymph nodes, as I said earlier, they only had to take two. They stopped before they had to go into my arm pit so my tenderness is minimal over that as well. I feel super blessed by that outcome.
I won’t have the full pathology for about a week, but Meghen felt confident she’s gotten everything in one fell swoop. Fingers crossed that’s the case. I sit here so thankful to be on the other side of this. To have the cancer gone. To be hopefully cancer-free. It is such a relief to the mind. Ahead I have some radiation, but that is the final phase and then I can move on. I will of course be monitored closely in the future. I am thankful for the technology that can do that. So very thankful. But most of all I think I am thankful for the peace I have felt through this process. God is good. And He is present. In all things. I am blessed to be called His.

So honest and I think any one going to go through this would appreciate knowing what they will face, but I am a realist and I do better knowing each step.
As stayed so many blessings, found early. Strong faith and Strong Shay, all the prayers and love shared and that will be shared.
Your life is such a testimony of Christian life
Being guided by our Lord and Savior.
Glad you are up and about and thank God for providing such a wonderful Dr and team.
Praying for you and Frank
And Kenzie.
Joy and Peace,
Claudia
LikeLiked by 1 person
Sigh, of relief. And for what you endured. I’m glad this part is behind you. Rest up and take it easy in this recovery. My prayers will continue! Love you!
LikeLiked by 1 person
God is so Good! What he is doing through you is a nothing shy of a miracle. Not only having to ensure the process, but to have the Strength and the Courage to not only write it out, but share it with the world. You are an inspiration and a blessing. Thank you for sharing such a raw and powerful experience.
LikeLiked by 1 person
Thanks for sharing so honestly. My mom was just diagnosed with breast cancer last week. Luckily it is at stage zero, so very early. This helps me understand some more of what she may go through. They anticipate being able to get it all with a lumpectomy. Right now she’s recovering from a colectomy where they removed polyps from her colon and then about a foot of colon surrounding the polyps. When she recovers from this, then lumpectomy, then cataracts, then hip replacement. At some point I have to wonder how much she can take.
You have never shied away from the tough stuff, thank you so much for sharing your journey, painful and scary as it is. Do you think your weight loss journey and getting strong and fit helped prepare you? With all of my health chalky, I think if I had stayed morbidly obese, I could never have been able to handle any of the challenges over the last 15 years. I still remain so grateful to have been able to have the surgery that let me take more control over my life and health. I’m sending cheers and prayers your way! Love that you have such a supportive “ home team”!
❤️😘❤️😘❤️😘❤️
LikeLiked by 1 person
Kerri, no doubt. I wrote a post a while back about how amazing God is in bringing me to WLS a year and a half ago knowing I would go through this. As a pre-diabetic I never could have healed as well as I will in this restored healthier body for sure. I will keep you and your mom in my prayers. If you have questions or need to talk along the way, please call on me. I am happy to be a resource.
LikeLike
So glad you got through this and they were able to get it all. You are a strong woman, Shay! I am with you in love and prayer. Love you my friend. Kris
LikeLiked by 1 person
Great testimony I can’t even imagine the pain you faired better than I would have I’m sure but I’m not surprised of your resolve with god by your side! Great job and prayers for you and your family.
LikeLiked by 1 person